山田院長のブログ

コアをはずして根管治療 

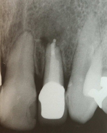
初診時

コアをはずして根管治療 

 

 

根管治療中(歯根長の測定)

コアをはずして根管治療 

 

 

MTAセメントによる根管充填

コアをはずして根管治療 

 

 

歯根嚢胞の治癒傾向が認められる

コアをはずして根管治療 

 

 

ファイバーコアのビルドアップの後ジルコニアクラウンを装着

コアをはずして根管治療 

一覧に戻る