- TOP
- 歯周病(プラークと歯石)
歯周病の原因〜磨き残したプラーク〜
姫路市の歯医者「山田歯科医院」では、プラークコントロールの指導や歯石除去にも対応しております。
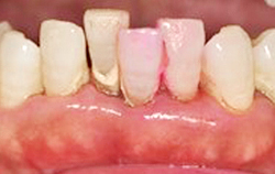
プラークとは、歯に付着してくる、白くネバネバした細菌の塊です。プラークは磨き残したままにしておくと歯肉に炎症を起こし、やがて固くなり歯石となります。
こうした事態を防ぐためにも、当院では歯磨き指導や歯石除去をはじめとしたサポートをおこなっております。歯周病予防や症状の改善に、ぜひお役立てください。
歯周病の原因は磨き残したプラークです
歯の表面を爪でこすると、白くネバネバしたノリ状のものが取れると思います。これが、細菌の塊である「プラーク」です。
プラークには歯周病菌も含まれており、歯周病の予防には「歯や歯肉を傷つけることなく、プラークを取り除くこと」が重要となります。また、プラークをキレイに取り除くことさえできれば、あとは元来備わった自然治癒力で歯周病は治ります。
なお、歯周病に罹患した人でも、プラーク内に含まれる細菌比率はミュータンス菌(むし歯菌)が一番多いと証明されています。さらに砂糖の摂取量が多い人はプーラク量も多い傾向があり、通常よりも粘性が高く、歯ブラシでは落としにくいことがわかっています。
自ら“歯周病を治そう”という想いがとても大事です
口腔内環境は、普段の食生活や歯磨き技術に大きく左右されます。歯医者は「歯周病を治療すること」はできますが、歯周病にならないためには患者さん自身の歯科保健行動*が必要です。
*歯科保健行動 歯のために良いことを行い良くないことを避ける行い。
当院では歯磨き指導などを通して、「歯周病を治したい」「二度と歯周病になりたくない」という『想い』をサポートしたいと考えております。食生活についてのアドバイスもさせていただきますので、まずはお気軽にご相談ください。
歯を磨かなければど
れぐらいプラークが付着するのか
※表は左右にスクロールして確認することができます。
|
|
|
|
|
|---|---|---|---|
|
1999年3月12日 この日から左上前歯の歯磨きをやめました。 |
1999年3月20日 歯磨きをやめて8日目。少しプラークが付いてきました。 |
1999年3月26日 歯磨きをやめて14日目。目に見えてプラークが付いてきました。 |
1999年4月3日 歯磨きをやめて22日目。歯肉との境目にプラークがこってり付いています。 |
※表は左右にスクロールして確認することができます。
|
|
|
|
|
|---|---|---|---|
|
1999年4月9日 歯磨きをやめて28日目。歯肉の縁が赤くなってきました。 |
1999年4月16日 歯磨きをやめて35日目。プラークがベットリ付着しています。 この日、歯磨きをしました。 |
歯磨きをしてプラークを落としました。歯肉から出血した跡が伺えます。 |
そのときの歯ブラシ。 |
※表は左右にスクロールして確認することができます。
|
|
|
|
|---|---|---|
|
1999年4月19日 歯磨きを再開して3日目。歯肉の発赤はほぼ治っています。 |
1999年4月23日 歯磨きを再開して7日目。少し赤味は残っているものの、ほぼ元通りになりました。 |
1999年4月26日 歯磨きを再開して10日目。完全に回復しました。 |
この一連の実験で分かったことは、以下の2つです。
健康な歯肉は、1ヵ月ぐらい歯磨きをしなくてもそれほど悪くならない。
歯肉炎を起こしても、歯みがきを再開すれば1週間ほどで回復する。
あくまで一例なのですべての方がそうだとは言い切れませんが、少なくとも私はそうでした。おそらく、健康な歯肉をお持ちの方ならば、それほど大きな違いはないでしょう。
したがって、歯周病になっている方はかなり長い間、何年も磨けていない状態が続いていると考えられます。甘いものの摂取量によっては、エナメル質の白濁が起こるかもしれません。
山田歯科医院の歯石と
歯周病への考え方
歯石とは、プラークが唾液中のカルシウムやリンと結びついて石灰化したものです。カチカチに固まっているため歯磨きで落とすことは極めて困難で、除去するためには歯医者で特殊な器具を用いるしかありません。
歯石には「歯肉縁上歯石」と「歯肉縁下歯石」の2種類があり、歯肉縁下歯石は歯周病が進行して、歯肉が出血しやすくなり、血液成分がプラークに沈着して固くなったものです。これを除去する際に出血や痛みをともない、場合によってはひどい知覚過敏を引き起こすこともあります。そのため、まずは歯磨きなどで歯周病を治すことが先決です。
歯肉の状態が改善したあとであれば、歯石を除去する際も出血や痛みはほとんどありません。
お悩み事があればお気軽に相談しに来てください
山田歯科医院は「なんでも気兼ねなく話せる、友人のような歯医者」を目指しております。歯茎の症状や普段の食生活、歯磨き習慣について、まずはお気軽にご相談ください。患者さんの目線に立ち、時間をかけてじっくりとお話をうかがいます。
もちろん、歯石の除去も承っております。歯周病は症状がほとんど表れないことも多いため、少しでも「おかしいな」と感じたらぜひお早めにお越しください。
